โรคพีเอสพี (Progressive Supranuclear Palsy, PSP)

Progressive Supranuclear Palsy (PSP) เป็นโรคสมองเสื่อมที่มีผลต่อการเคลื่อนไหวและการทรงตัว พบได้ค่อนข้างน้อยเมื่อเทียบกับโรคพาร์กินสัน โดยพบประมาณ 5-6 รายต่อประชากร 100,000 คน มักเกิดในผู้ที่มีอายุ 60 ปีขึ้นไป เพศชายมากกว่าเพศหญิงเล็กน้อย

สาเหตุที่แท้จริงยังไม่ทราบแน่ชัด แต่มีความเกี่ยวข้องกับการสะสมผิดปกติของโปรตีน Tau ภายในเซลล์สมอง โดยเฉพาะสมองส่วน midbrain และ basal ganglia ซึ่งทำหน้าที่ควบคุมการเคลื่อนไหว การทรงตัว และการทำงานของดวงตา การสะสมดังกล่าวทำให้เซลล์ประสาทเสื่อมและตายลง ส่งผลให้เกิดอาการต่าง ๆ ตามมา

อาการ

อาการของ PSP มักค่อย ๆ ปรากฏและรุนแรงขึ้นเรื่อย ๆ โดยอาการสำคัญ ได้แก่

  • การทรงตัวไม่ดี ล้มบ่อย โดยเฉพาะล้มไปด้านหลัง
  • กล้ามเนื้อแข็งเกร็ง เคลื่อนไหวช้า คล้ายโรคพาร์กินสัน
  • การเดินติดขัด เดินต่อไม่ได้ (progressive gait freezing) มักเกิดภายใน 3 ปีหลังเริ่มอาการ
  • การกลอกตาลดลง โดยเฉพาะการมองขึ้น-ลง ทำให้เห็นไม่ชัดหรือเห็นภาพซ้อน ระยะท้ายอาจกลอกตาไม่ได้เลย
  • เปิด-ปิดตาลำบาก กระพริบตาน้อย ไม่ทนต่อแสงจ้า
  • พูดไม่ชัด กลืนลำบาก
  • มีภาวะซึมเศร้าและการเปลี่ยนแปลงบุคลิกภาพ
  • ปัญหาความจำและการคิดวิเคราะห์

PSP ยังสามารถแบ่งเป็นชนิดย่อยตามตำแหน่งที่โปรตีน Tau สะสม ซึ่งทำให้มีอาการเด่นแตกต่างกัน ตัวอย่างเช่น

  1. Classic PSP (Richardson’s syndrome) Tau สะสมมากใน subthalamic, pallidum และ substantia nigra อาการเด่นคือตัวแข็ง เดินและพูดลำบาก ตามมาด้วยการทรงตัวไม่ดีและความจำเสื่อม ส่วนการกลอกตาหรือมือสั่นจะไม่ผิดปกติมาก
  2. PSP-parkinsonism (PSP-P) Tau สะสมน้อยกว่า Classic PSP อาการคล้ายโรคพาร์กินสัน เช่น ขาแข็ง มือสั่น แต่ปัญหาการทรงตัวและความจำจะเกิดช้ากว่า
  3. PSP-PAGF (pure akinetic gait freezing) พบการฝ่อรุนแรงของ globus pallidus, substantia nigra, subthalamic nucleus หรือที่เรียกว่า Pallido-nigro-luysian atrophy (PNLA) อาการเด่นคือการเดินติดขัด (gait freezing), เขียนตัวเล็กลง (micrographia), ตัวอักษรติดกัน, เสียงพูดเบาหรือแหบพร่า (hypophonia)
  4. PSP-CBS (corticobasal syndrome) Tau สะสมมากที่ midfrontal และ inferior parietal ทำให้เกิดอาการ asymmetric dystonia, apraxia และ cortical sensory loss
  5. PSP-PNFA (progressive non-fluent aphasia) Tau สะสมมากใน temporal cortex และ superior frontal gyrus อาการเด่นคือปัญหาการใช้ภาษา เช่น พูดไม่คล่อง พูดติดขัด ใช้ไวยากรณ์ผิด และออกเสียงผิด

ทั้งนี้ ประมาณ 5–10% ของผู้ป่วยพาร์กินสันอาจพบว่ามี PSP ร่วมด้วย



การวินิจฉัย

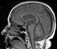
การวินิจฉัย PSP อาศัยการซักประวัติและตรวจระบบประสาท ร่วมกับการตรวจภาพสมอง เช่น MRI เพื่อตรวจหาการฝ่อของสมองส่วน midbrain ซึ่งอาจเห็นเป็นลักษณะ hummingbird sign รวมถึงการตัดโรคอื่นที่มีอาการคล้ายกันออก

ตารางการวินิจฉัยแยกโรค

โรค ลักษณะเด่น จุดที่แตกต่างจาก PSP
Parkinson’s Disease เคลื่อนไหวช้า มือสั่น กล้ามเนื้อแข็ง การล้มบ่อยและปัญหาการกลอกตาเกิดช้ากว่า PSP
Multiple System Atrophy (MSA) ปัญหาการทรงตัว ความผิดปกติของระบบประสาทอัตโนมัติ มีอาการระบบอัตโนมัติเด่น เช่น ความดันโลหิตตก
Corticobasal Degeneration (CBD) การเคลื่อนไหวไม่ประสานกัน ใช้มือไม่ถนัด มีอาการเด่นข้างเดียว และมี limb apraxia
Alzheimer’s Disease ความจำเสื่อมเป็นอาการเด่น ไม่มีปัญหาการกลอกตาหรือล้มบ่อยในระยะแรก


การรักษา

ปัจจุบันยังไม่มียาที่รักษา PSP ให้หายขาด การรักษามุ่งเน้นเพื่อลดอาการและช่วยให้ผู้ป่วยดำเนินชีวิตประจำวันได้ดีขึ้น ได้แก่

  • ยากลุ่ม Levodopa หรือ Dopamine agonists แต่ตอบสนองได้น้อยกว่าในโรคพาร์กินสัน
  • กายภาพบำบัด เพื่อปรับปรุงการทรงตัวและความแข็งแรงของกล้ามเนื้อ
  • การฝึกแก้ไขการพูด เพื่อช่วยการสื่อสารและการกลืน
  • การดูแลด้านโภชนาการ และการใช้อุปกรณ์ช่วยเหลือ เช่น walker

พยากรณ์โรค

PSP เป็นโรคที่ดำเนินไปอย่างต่อเนื่องและรุนแรงขึ้นเรื่อย ๆ อายุขัยเฉลี่ยหลังการวินิจฉัยอยู่ที่ประมาณ 6–10 ปี ผู้ป่วยมักเสียชีวิตจากภาวะแทรกซ้อน เช่น การสำลักอาหารหรือติดเชื้อในปอด

การป้องกัน

ปัจจุบันยังไม่มีวิธีการป้องกัน PSP อย่างชัดเจน เนื่องจากสาเหตุแท้จริงยังไม่ทราบ งานวิจัยยังคงดำเนินต่อไปเพื่อหาปัจจัยเสี่ยงและแนวทางการรักษาที่มีประสิทธิภาพมากขึ้น

สรุป

Progressive Supranuclear Palsy (PSP) เป็นโรคประสาทเสื่อมที่พบไม่บ่อย มีอาการเด่นคือการล้มบ่อย การเคลื่อนไหวช้า กล้ามเนื้อแข็งเกร็ง และความสามารถในการกลอกตาลดลง การวินิจฉัยต้องอาศัยการตรวจร่างกายและการแยกโรคที่มีอาการคล้ายกัน ปัจจุบันยังไม่มียาที่รักษาให้หายขาด การดูแลเน้นการประคับประคอง ลดอาการ และช่วยเหลือการใช้ชีวิตประจำวัน การรับรู้และวินิจฉัยตั้งแต่ระยะเริ่มต้นจะช่วยให้ผู้ป่วยและครอบครัวสามารถวางแผนการดูแลได้เหมาะสมมากขึ้น